Cirugía reconstructiva
articular de cadera

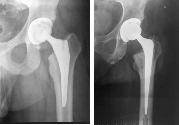
Reemplazo total de cadera

Reemplazo total de cadera con técnica miniinvasiva y programa de corta estadía


La artroplastía de cadera evolucionó como resultado de progresivas mejoras en el diseño, la disponibilidad de materiales, la técnica de fabricación adecuadas de los componentes y el mejor conocimiento de la biomecánica de la cadera.


El Reemplazo total de cadera (artroplastía de cadera) consiste en la sustitución de la región superior del fémur y del acetábulo por un implante protésico. El objetivo del tratamiento es la disminución de dolor y recuperar la funcionalidad de la articulación


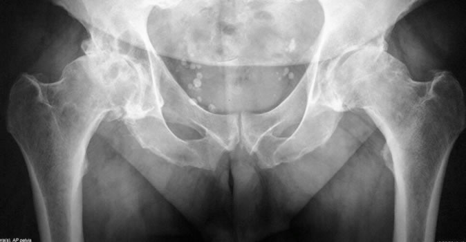
Existen numerosas indicaciones para el reemplazo articular, principalmente la artrosis de cadera. Se define artrosis a la pérdida del cartílago articular.


El diagnóstico principalmente está basado en el examen físico. El dolor inguinal con irradiación hacia el muslo y la limitación de la movilidad articular son los hallazgos más frecuentes en el consultorio.


Los estudios por imágenes son complementarios a la revisación médica. Las radiografías comparativas de ambas caderas, y eventualmente una tomografía computada o resonancia magnética nuclear, nos permiten analizar la articulación con los datos obtenidos en la revisación, así como también la planificación adecuada para un eventual procedimiento

Tratamiento de fracturas de cadera

El tipo de procedimiento y el momento del mismo, será resultante de una decisión conjunta entre el paciente y el médico tratante.



Cirugia artroscopica de cadera

Instituto de Cadera CEMIC

La unidad de cadera pertenece al Departamento de Cirugía y está formado por cirujanos de amplia experiencia.

Solicite Turno

Acerca de la cirugía

Qué esperar


  • Previo a la operación

    Previo al procedimiento quirúrgico se realizará un estudio detallado de las condiciones del paciente por el servicio de Clínica Médica y de Anestesiología, con el objetivo de programar un protocolo acorde a los antecedentes del paciente con el objetivo de disminuir los riesgos tanto intraquirúrgicos como postoperatorios.

  • Posoperatorio

    El postoperatorio consiste en un trabajo multidisciplinario. A las 24 horas de la cirugía, el paciente comienza la rehabilitación de la marcha bajo supervisación del kinesiólogo, con asistencia o no, según el caso.

    Generalmente, la estadía en el Hospital es de 48 a 72 horas luego del acto operatorio, continuando su rehabilitación en domicilio con los cuidados según protocolo.

    El objetivo consiste en un tratamiento multidisciplinario que le permita al paciente recuperar calidad de vida, y retornar a sus actividades sociales, laborales y deportivas previas.

    Cirugia artroscopica de cadera