Fracturas
de cadera y pelvis

Trauma

Fractura de Cadera


La articulación de la cadera comprende la región superior del fémur y el acetábulo. Se considera fractura de cadera a aquellas que involucran la parte superior del fémur. Las fracturas de cadera son lesiones graves, con repercusión en el estado general del paciente y requieren un tratamiento específico dependiendo del tipo de lesión. Se asocian a una elevada morbimortalidad, con un 30% de mortalidad en el primer año en paciente añosos.


La gran mayoría ocurren en pacientes mayores (9 de cada 10 fracturas son mayores de 65 años), pero encontramos casos en paciente jóvenes con traumatismos de alta energía, y generalmente con lesiones asociadas en otras partes del cuerpo.


La calidad ósea y la masa muscular tienen a disminuír con la edad, y corresponden el factor de riesgo más importante. El 90% de las facturas en paciente añosos son por caídas de propia altura. El sexo femenino, con el trastorno endócrino postmenopáusico, contituye otro importante factor de riesgo (relación 3 a 1 con hombres). El 70% de las fracturas de cadera son mujeres. Otros factores de riesgo incluyen los déficits neurológicos, enfermedades endócrinas, malnutrición, Problemas visuales, falta de actividad física, consumo de alcohol, tabaco, etc.


Generalmente presentan como un intenso dolor en ingle y/o muslo, con importencia funcional e incapacidad para cargar peso sobre el miembro inferior, edema e hinchazón, acortamiento y rotación de dicha cadera.


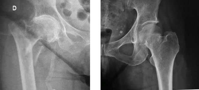
La factura puede ubicarse en el cuello del fémur o en la región intertrocantérica. La característica de la fractura, la ubicación, la edad y la expectativa de vida y funcional del paciente determinaran el tipo de tratamiento a seguir.

Tratamiento de fracturas de cadera

Se consideran lesiones graves por estar asociadadas a un elevado porcentaje de complicaciones, tanto pre y postoperatorias como intraquirúrgicas.



Fractura de cadera

Instituto de Cadera CEMIC

La unidad de cadera pertenece al Departamento de Cirugía y está formado por cirujanos de amplia experiencia.

Solicite Turno

Tratamientos

Enfoques quirúricos

La rehabilitación postoperatoria es fundamental, consiste en recuperar la masa muscular de ambos miembros inferiores, reeducar la marcha y prevenir futuras lesiones.


  • Fijación de la fractura con tornillos, clavos endomedulares o placas

    El objetivo de obtener una fijación interna rígida y estable de los fragmentos de la fractura, que permita al paciente pasar a la fase ambulatoria o al menos a una carga parcial del miembro operado en un corto período de tiempo.

    La movilización es ventajosa para prevenir complicaciones pulmonares, trombosis venosas, úlceras por decúbito y deterioro general.

    Tratamiento de fracturas de cadera
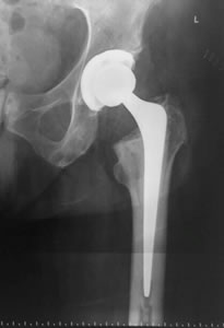
  • Reemplazo articular con prótesis

    La sustitución protésica permite la carga inmediata para devolver a los pacientes ancianos a la actividad y ayuda a evitar las complicaciones del encamamiento y la inactividad.

    Los resultados y opiniones sobre la influencia del retraso de la cirugía en la mortalidad del paciente son discutidos.

    La mayoría de los ancianos tienen muchos problemas médicos asociados y esperar 12 o 24 horas en la evaluación médica y su tratamiento es ventajoso y bien tolerado; sin embargo, no debe permitirse un excesivo retraso.

    Tratamiento de fracturas de cadera