Cirugía de revisión
de cadera

Reconstrucción articular

Cirugía de Revisión de Cadera


El reemplazo total de cadera es un procedimiento confiable y exitoso para disminuir el dolor y mejorar la función articular. Sin embargo, existen instancias en donde se requiere una revisión del implante. Se refiere a Cirugía de Revisión de cadera a la sustitución de un implante por otro.


La cirugía suele ser mucho más difícil, con resultados no tan satisfactorios como los de la artroplastía total de cadera primaria. La revisión requiere más tiempo quirúrgico, da lugar a pérdida de más sangre y se asocia con una incidencia más alta de complicaciones.


Las indicaciones incluyen: Aflojamiento doloroso aséptico (no infectado) de uno o ambos componentes, fractura o fracaso del implante, Luxación recidivante, artroplastía infectada, fractura periprotésica, etc.


El aflojamiento doloroso de uno o ambos componentes es una complicación a largo plazo. La duración o vida útil de una prótesis de cadera es multifactorial. Los controles traumatológicos así como también los hallazgos radiográficos en el postoperatorio son de gran importancia para el diagnóstico y el tratamiento adecuado.

revisión de cadera

Es de vital importancia diferenciar entre aflojamiento mecánico y aflojamiento séptico (infectado). El aflojamiento sépitco se discute en la sección Tratamiento de Infecciones


La incidencia de luxación en un reemplazo total de cadera varia del 1 al 4 %, consecuentemente, la inestabilidad protésica es la causa más frecuente de indicación de una cirugía de revisión. La mayoría de las luxaciones ocurren dentro de los primeros tres meses de la cirugía, por lo tanto, respetar los cuidados según protocolo postoperatorio son de vital importancia. Existen múltiples causas de inestabilidad y en muchos casos, incluyen varios factores: por lo tanto, el tratamiento es específico para cada paciente.


revisión de cadera

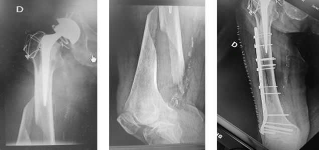
Las fracturas del fémur o del acetábulo pueden ocurrir durante o después de la artroplastía total de cadera. Las fracturas del femur son las más frecuentes, y suelen requerir alguna forma de tratamiento. El tratamiento de la fractura periprotésica depende de varios factores como la ubicación de la fractura, las caracteristicas de la misma, la relación de la fractura con el componente protésico, edad del paciente, espectativa de vida, etc.

El tratamiento es específico para cada caso.


revisión de cadera

Cirugia artroscopica de cadera

Instituto de Cadera CEMIC

La unidad de cadera pertenece al Departamento de Cirugía y está formado por cirujanos de amplia experiencia.

Solicite Turno